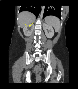
History: 16 year old female with recurrent flank pain.


This is the appearance of a calyceal diverticulum, which is a small outpouching or eventration of a calyx into the renal parenchyma. They are usually connected by a narrow channel to the renal pelvis, as seen in the IVP image above. A calyceal diverticulum can be complicated by renal colic (renal stone), which was the cause of recurrent flank pain in this patient. Occasionally, milk of calcium can precipitate or layer within the calyceal diverticulum and mimic a renal stone. Most commonly, a calyceal diverticulum is incidentally discovered as they are typically asymptomatic.




Leave a comment