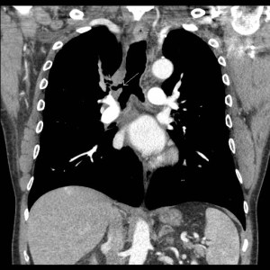
History: 60 year old male undergoing chest CT for follow up of a lung mass.

This anatomical variant is referred to as a tracheal bronchus. When the entire upper lobe is supplied by the accessory bronchus, it is called a pig bronchus. An excellent article summarizing these anatomical variants is present here. These variant bronchi are seen in about 0.1-2% of the population, and typically arise from the right side of the trachea. They place the patient at risk for recurrent pneumonia in the lobe supplied by the accessory bronchus.




Leave a comment