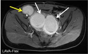
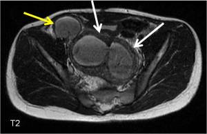
History: 13 year old female with pelvic pain



This is a case of a bicornuate uterus with hydrosalpinx of the right fallopian tube. Read about Imaging of Mullerian Duct Anomalies.

History: 13 year old female with pelvic pain This is a case of a bicornuate uterus with hydrosalpinx of the right fallopian tube. Read about Imaging of Mullerian Duct Anomalies. Uterine didelphys ultrasound.
History: 13 year old female with pelvic pain



This is a case of a bicornuate uterus with hydrosalpinx of the right fallopian tube. Read about Imaging of Mullerian Duct Anomalies.
Leave a comment