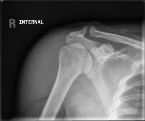
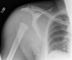
History: 40 year old patient with spinal cord injury.


This is a case of neuropathic osteoarthropathy, also known as a Charcot joint. The imaging findings are typically described as the 5 “Ds,” which include normal bone Density, joint Distension, bony Debris, cartilage Destruction, and joint Disorganization (or dislocation/deformity). Usually when seen in the shoulder it is indicative of an entity called syringomyelia, however, in this patient it was spinal cord injury.




Leave a comment