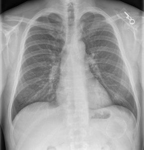
History: 50 year old male with chest pain and shortness of breath has an incidental finding.

The differential diagnosis for a calcified mass projecting over the left upper quadrant of the abdomen includes prior granulomatous disease such as histoplasmosis or tuberculosis, arterial calcifications such as a splenic artery aneurysm, splenic infarction, and splenic cyst. Less commonly, echinococcal (hydatid) cyst can present with a calcified mass; however, they are usually multiple. This patient’s diagnosis was a splenic cyst. Typically splenic cysts display eggshell calcifications. Splenic cysts can be either congenital or post-traumatic/post-infarction; however, this cannot be distinguished by imaging.




Leave a comment