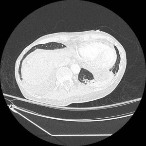
History: 60 year old male with fever, cough, and shortness of breath.


This is complete collapse of the lateral basal segment of the left lower lobe, which can also be describe as partial atelectasis of the left lower lobe. Lobar collapse occurs when an entire lobe of the lung is not aerated. Obscuration of the soft tissue-air interface of the hemidiaphragm with the adjacent lung by the atelectasis is commonly referred to as the Silhouette Sign. Some have argued that this is a misnomer, and that the sign should be called “loss of Silhouette sign,” as the normal “silhouette” can no longer be seen.
The various signs of atelectasis are:
Golden S Sign: right upper lobe atelectasis
Juxtaphrenic Peak sign: upper lobe atelectasis
Luftsichel sign: Left upper lobe atelectasis
Flat waist sign: left lower lobe atelectasis
Comet tail sign: rounded atelectasis
Interestingly, the word silhouette had its origins here, named after Étienne de Silhouette. Atelectasis is from the Greek for “incomplete stretching.”





Leave a comment